Live Support
Hello! How can I help you?
Call Us

Periodontal Disease

 

Periodontal disease – or gum disease – affects about half the UK to some degree. Initially presenting as gum disease where the gums swell, redden and bleed when brushed, periodontal disease is gum disease which has progressed to the next level.

Gum disease – or gingivitis – can be reversed and prevented from happening again, however when it has stepped up to the next level, gums that are not managed as periodontitis sets in, cannot be reversed. Periodontal disease can also put you at a risk of existing heart issues.

The only periodontal disease treatment that lasts, is for you to keep on top of your oral hygiene, including regular brushing and flossing. As mentioned, it won’t reverse the damage but it will prevent it from getting any worse.

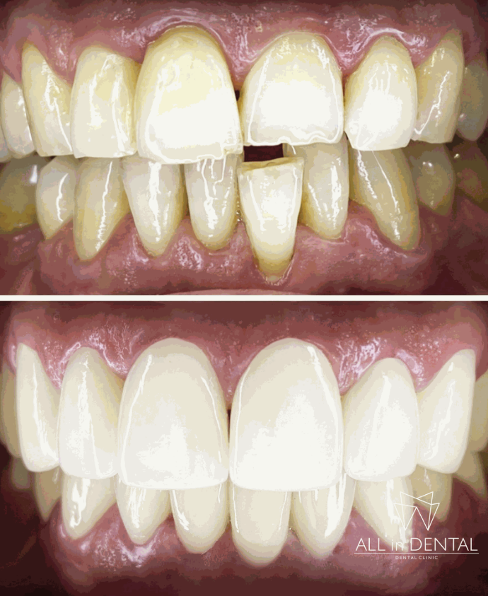
Periodontal disease and All In Dental

If you do lose teeth due to periodontal disease, then the bone that was there supporting the tooth previously, will be destroyed and start to recede, leaving you with considerably less bone in your jaw. When losing teeth due to periodontal disease, you may be looking for a solution to replace those lost teeth. Traditionally, dentures have been the solution, with dental implants being ruled out due to the loss of bone. But dentures can often be ill-fitting, sometimes painful and you can get food stuck in them when you’re trying to get your favourite baguette! Add to that, they need fixing with adhesive every morning, and sometimes after food, which needs to then be cleaned off every night.

 

All In Dental

On top of that, you’ve probably heard from your dentist that dentures are your only option, probably due to the lack of bone available for dental implants to be implanted.

That is no longer the case because, here at All In Dental, we have developed an innovative and advanced alternative to all-on-four dental implants – the All In Dental – which is one of the only rehabilitation treatments specifically designed to help with challenging dental situations.

All In Dental, as an advanced alternative to all-on-four dental implants, utilises pterygoid implants to support full jaw implant prosthetics. With our on-site, purpose-built laboratories, our specialist teams can personally design one-piece, screw-retained prosthetics, which don’t require any bone grafting to be undertaken.

 

Dental Implants At All In Dental

In fact, dental implants can actually restore lost bone by the implant being attached, stimulating bone growth in the same way that a natural tooth would.

As our procedures involve full jaw – top or bottom or both – correction, we require no more than 5mm wide and 10mm high, and of adequate spread across the jaw. We use cone beam CT (CBCT) scanning – which is free during your free assessment – allowing us to evaluate the availability, position and quality of the smallest amounts of remaining bone.

The treatment plan that our dentists devise for you will solely be based on your needs and requirements, no-one else’s. You will find out on the day of your free consultation as to whether you are a candidate for our precision engineered fixed full-jaw dental implant restoration and you can soon be walking away with a smile in a day!

Periodontal Disease FAQs

Periodontal disease is a gum infection that, when left untreated, destroys the supporting bone around your teeth. Otherwise known as gum disease, this can cause teeth to loosen and fall out.

There are four stages of periodontal disease:

  • Gingivitis
  • Slight periodontal disease
  • Moderate periodontal disease
  • Advanced periodontal disease


You are at risk from periodontal disease if you don’t have good dental hygiene habits, such as thoroughly brushing your teeth twice a day and flossing at least once a day.

You need to look out for a variety of symptoms such as:

  • Bad taste in your mouth
  • Bad breath
  • Bleeding gums
  • Pain when eating
  • Loose teeth
  • Teeth falling out


The main cause of periodontal disease is poor dental hygiene, which causes plaque to build up on and around the teeth. Once this plaque hardens, it can result in bleeding gums, pain when chewing, and loose teeth, which may eventually fall out.

Other causes include:

  • Smoking
  • Obesity
  • Poor nutrition
  • Genetics


The first stage of periodontal disease, known as gingivitis, is reversible. This presents itself as sore, swollen, and bleeding gums. Good dental health hygiene can reverse this stage.

The second stage, slight periodontal disease, is not reversible as it involves infection in the bone around your teeth, but the good news is that it is manageable. A visit to your dentist to have plaque and bacteria removed by planing and scaling can keep this under control.

The third stage, moderate periodontal disease, is diagnosed when the disease is more advanced and infection is found deeper in the gums. This time, the scaling and planing will take more than one sitting to be effective.

The final stage is advanced periodontal disease, and at this point, the only option will be to have the infection removed via dental surgery. All stages, apart from the first, are not reversible.





All In Dental Clinic