Live Support
Hello! How can I help you?
Call Us

Smile In A Day Dental Implant

Are you considering dental implants?

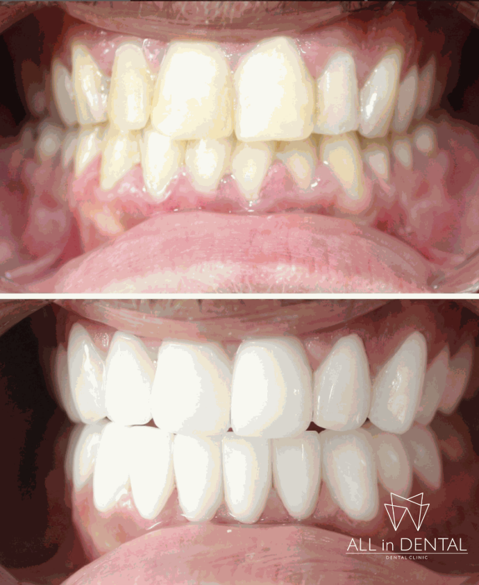
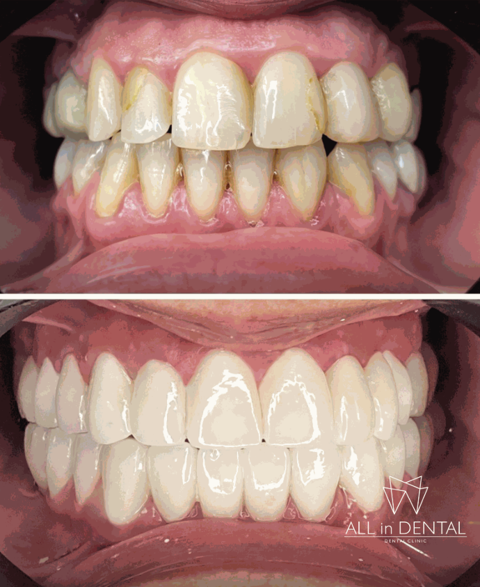
For the team at All In Dental, it’s all in a day’s work—quite literally. Our Smile in a Day solution is what we do, day in and day out, so it’s safe to say we’re experts in the field.

But why choose us for your same-day teeth implants?

At All In Dental, we focus solely on full jaw and full mouth prosthetic treatments. Rather than trying to be a jack-of-all-trades clinic, we’ve dedicated years of research to developing our All In DentalSolution™, allowing us to provide specialized treatments that simply aren’t available elsewhere.

We’ve helped thousands of people regain their confidence and their smiles through our one-day smile solution—and we’re confident we can help you, too.

Can anyone benefit from Smile in a Day dental implants?

There are many reasons why you might be considering dental implants. Perhaps you suffer from severe chronic periodontal (gum) disease, or you have undergone multiple dental procedures in the past that show no long-term prospects of success. You may be dealing with missing teeth or wearing a denture that doesn’t fit well, causing discomfort and embarrassment.

Whatever the reason, there’s a good chance our team at All In Dental can offer you a solution. Many of our patients come to us after feeling let down by other clinics or believing there is no fix for their specific problem. Often, that simply isn’t the case—our highly developed Smile in a Day solution has helped thousands of people regain their self-esteem, delivering life-changing results.

Our one-day dental implant treatments are versatile and can help in a variety of situations. If you’re uncertain about whether same-day teeth implants are right for you, reach out to our friendly patient coordinators, who will be more than happy to advise you.

What are the benefits of Smile in a Day dental implants?

If you’re researching faster treatment options for tooth loss, same-day smiles are a popular choice in Turkey. Thanks to their wide-ranging benefits and versatility, more patients can consider a full-jaw rehabilitation solution that fits teeth in one day—even those with complex cases who may have been told implants aren’t an option.

With the All In DentalSolution™ ‘smile in a day’ dental implants, you can expect:

  1. A Bespoke Prosthesis
    Each smile-in-a-day prosthesis is custom-designed and manufactured in our on-site laboratories before being fitted on surgery day.
  2. Advanced Dental Implant Placement
    With the All In DentalSolution™, implants can be positioned in areas that provide stronger support in the jaw—such as the pre-maxilla, pre-mandible, and pterygoid regions—so patients often don’t need bone grafts or sinus lifts.
  3. More Teeth per Prosthesis
    The All In DentalSolution™ can provide up to 10–12 teeth per arch (depending on your anatomy), compared to the standard 8–10 teeth typically offered by other same-day treatments, like All-on-4.
  4. Improved Quality of Life
    Teeth-in-a-day treatment restores full oral function, giving you a strong, complete bite and a confident, even smile—so you can fully enjoy your favorite foods again.
  5. Expert Dental Professionals
    The All In Dental team is made up of expert clinicians, lab technicians, technical engineers, nurse practitioners, and patient coordinators—all dedicated to delivering patient-focused care and exceptional service.
  6. Enhanced Facial Aesthetics
    Same-day teeth implants help stimulate bone density in the jaw, aiding in facial structure preservation and helping you regain a natural, restored look.

What are Smile in a Day dental implants?

“Smile in a Day” is another way of saying “same-day teeth implants.”

Many of our patients are amazed when we explain that, at All In Dental, you can arrive at our clinic in the morning and leave that same day with brand-new teeth.

The truth is that unlike many other clinics, we specialize exclusively in dental implants. The techniques we use for our All In DentalSolution™ are unique to us, and we know them inside and out—helping us transform your smile in just one visit. Because we’re experts in what we do, the cost of a Smile in a Day is much lower than comparable options.

When you choose our popular All In DentalEssential solution, you receive a fixed full-arch custom dental bridge, permanently anchored by four to six dental implants. Your permanent set of teeth is then fitted on the same day.

For those opting for our All In DentalAdvanced or All In DentalUltimate solutions, you’ll still leave with a set of fixed teeth on the day of surgery, with your final set ready in about 16 weeks. The teeth you leave our clinic with will let you eat and smile normally. This first set is designed to allow for healing and to prepare your mouth for the final set, which is reinforced, slimmer, and more aesthetically pleasing.

No matter which treatment you choose, you will never be given a temporary fix like a denture at All In Denta

All In Dental Clinic